Παράκαμψη προς το κυρίως περιεχόμενο
Αρχική
Μενού

Κεντρική πλοήγηση

  • Βιογραφικό
  • Τα ιατρεία
  • Ρευματολόγος: Πότε/Γιατί?
  • Άρθρα
  • Επικοινωνία
  • Κλείστε ραντεβού

Blog

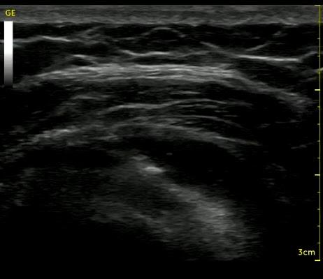
Έγχυση PRP σε μερική ρήξη υπερακανθίου

Έγχυση πλάσματος πλούσιου σε αιμοπετάλια (Platelet Rich Plasma, PRP) σε χρόνια τενοντίτιδα του υπερακανθίου

Περισσότερα
Βασίλειος Μποτζώρης - Ιατρός Ρευματολόγος

Κεντρική πλοήγηση

  • Βιογραφικό
  • Τα ιατρεία
  • Ρευματολόγος: Πότε/Γιατί?
  • Άρθρα
  • Επικοινωνία
  • Κλείστε ραντεβού
  • Βιογραφικό
  • Τα ιατρεία
  • Ρευματολόγος: Πότε/Γιατί?
  • Άρθρα
  • Επικοινωνία
  • Κλείστε ραντεβού